Robert D Morlan DMD
Open
Photos
225 Water St Ste B100
Plymouth, MA 02360
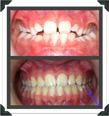
At Morlan Family Dental, the term family dentist means a few things: First and foremost, it means we are a dental practice that serves all your family’s dental needs. That includes checkups, cleanings and fillings, as well as the more sophisticated procedures we need later in life. Things like cr...
Also at this address
See a problem?
You might also like
Partial Data by Infogroup (c) 2025. All rights reserved.






