Looking for awesome professional care of your teeth, look no further than Dr. William Mathews. I can't believe I am writing the first review for Dr. Mathews his work is so great. I have many...
William M Mathews, DDS
Closed
(1)
Photos
500 E Remington Dr Ste 25
Sunnyvale, CA 94087
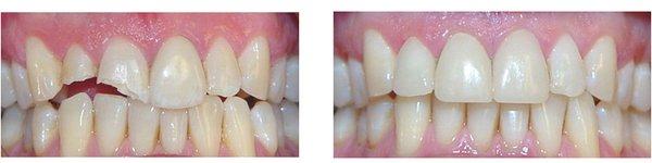
Operating in the vibrant city of Sunnyvale CA is Dr. William M Mathews a skilled D.D.S. specializing in general dentistry. With a wealth of experience and a commitment to providing top-notch oral care Dr. Mathews offers a range of services to cater to the dental needs of the local community.
As a Doctor of Dental Surgery Dr. Mathews is dedicated to promoting oral health and delivering personalized treatment plans for each patient. Whether it's routine check-ups fillings or other dental procedures individuals can trust Dr. Mathews to provide professional and compassionate care to help them achieve and maintain a healthy smile.
Generated from this place's public information
Also at this address
Find related places
See a problem?
You might also like
Partial Data by Foursquare.





