Amazing dentistry, I went in for advice and cleaning and Dr. Ngo was very informative. Took time and care with cleaning and made the experience relaxing and comfortable. Office staff was very...
Pacific Beach Dental
(11)
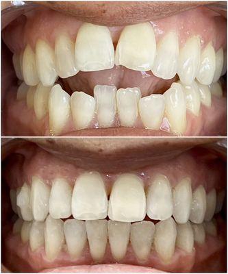
Photos
They offer a comprehensive range of dental services at Pacific Beach Dental in Huntington Beach CA focusing on patient comfort and care. With a team of experienced professionals they pride themselves on using the latest technology to provide effective and efficient treatments. Their welcoming atmosphere ensures that patients of all ages feel at ease during their visits.
Generated from this place's information
Also at this address
Find related places
Reviews
Great office-- clean, professional, on-time care. Dr. Ngo is very knowledgeable and everyone is thorough, careful, and kind. I have always received expert care whether it is for a simple cleaning...
I can't remember how long it has been since my husband and I started going to Dr. Ngo at his office near Huntington Harbor. My experience has always been A+ from the reception team to his dental...
Dr. Ngo gave me a deep cleaning, tooth extraction, and replaced my bridge. I've had a lot of work done in my life, and Dr. Ngo is hands down the best in every aspect. He is technically masterful...
The best dentist I've had ever: had a cracked tooth. Dr Ngo managed to save my tooth . The process was easy , minimal pain getting the tooth fixed and crowned. Super happy with the friendly and...






