Shout out to Dr. Young's staff Marcella, Jenna, Misty and Katie for their high quality, professional and super friendly service. Our family has been clients since he started his practice at the NB...
Marshall B Young, DDS
(123)
Photos
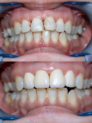
Located in the vibrant city of Newport Beach CA Dr. Marshall B Young is a skilled D.D.S. (Doctor of Dental Surgery) specializing in dentistry. With a passion for helping patients achieve optimal oral health Dr. Young's practice is dedicated to providing top-notch dental care in a welcoming environment.
Patients can trust Dr. Young's expertise and experience in delivering comprehensive dental services. From routine check-ups to advanced treatments Dr. Young's commitment to excellence ensures that each patient receives personalized care to maintain a healthy and beautiful smile.
Generated from this place's public information
Also at this address
Find related places
Reviews
Honestly - the best service and care!! Dr. Marshall personally called to assess my son's teeth after his electric scooter accident.
I was sure I had left a review prior but here it goes: The best dentist in town hands down - the entire staff enjoys working there as I've never seen them in a bad mood - everyone is smiling which...
There is not much I can say other than there is no better dental work + office experience, support team, hygienist team or dentist... hands down. I had originally got the referral to Dr. Young...
All these years after my first review of this beautiful place, I had to come back to write an update after a nightmare session with a dentist in Colorado. I have an adult baby tooth. Dr. Young...
You might also like
Partial Data by Foursquare.







