Dr Gibson & her staff are amazing! When you have dental phobia you are so scared to go to the dentist but with Dr Gibson that fear subsides. She is very gentle with her work and makes sure you are...
Kelly Gibson, DDS
(48)
Photos
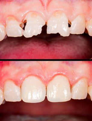
Kelly Gibson, DDS, located in Huntington Beach, CA, offers compassionate and high-quality dental care tailored to the needs of the community. Dr. Gibson and her dedicated team provide a range of services, including preventative, restorative, and cosmetic dentistry, with a focus on patient education to promote long-term oral health.
Distinguishing her practice from others, Dr. Gibson emphasizes informed decision-making without pressure, ensuring patients understand their treatment options. Committed to both dental excellence and patient satisfaction, her office strives to create a supportive and respectful environment where every smile matters.
Generated from the website
Also at this address
Find related places
Reviews
I just had an excellent experience with Dr Kelly Gibson and her office. They took me in early and did my x rays and examination. She had first checked to verify my insurance was in place and...
Brittany is an excellent dental hygienist. I've been coming here for a few years now, and Dr. Gibson is great as well. I highly recommend this location even if you don't live in Huntington Beach...
Great office experience as a first time patient and very easy to make an appointment over the phone. Dr Gibson is quick and no fuss during the examination, which I appreciate. Hygienist is...
Dr. Kelly Gibson and her staff kick %ss! Here's the scoop. Never had a tooth issue in all my years. Recently, however, one of my molars decided to go rogue. Pain. Problem. I haven't had a...










