I can truly say that Dr. Hajjar and Dr Haritakis dental office is by far the best dentist office I have ever been to. I have given a review in the past for this dentist office and I stand by...
Hajjar George, DDS
(22)
Photos
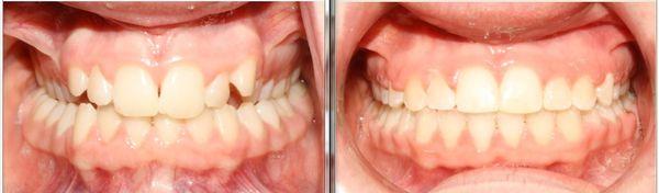
Hajjar & Haritakis Family Care, located in Rancho Cucamonga, CA, is a trusted dental practice led by Dr. George P. Hajjar and Dr. Harriet Haritakis. With over 34 years of experience, their dedicated team provides comprehensive dental care, from routine check-ups to smile makeovers, in a comfortable and relaxing environment.
Committed to improving the quality of their patients' lives through healthy and attractive smiles, Hajjar & Haritakis Family Care stays up-to-date on the latest materials and technology in dentistry. Their passion for excellence and personalized care shines through in every patient interaction, making them a go-to choice for dental needs in the area.
Generated from the website
Also at this address
Find related places
Reviews
My family has been going to Dr. Hajjar & Dr. Hartitakis for 15 yrs.+ This husband & wife practice delivers professional, thorough, personal care of your dental hygiene & health. Great care is...
Fantastic experience. I broke a portion of my tooth. Maria got me early the same day I called. Both dentist and staff took great care of me in preparing me for the first stages of preparation...
Best dentist! He always makes things right! Been seeing him for years! Now I drive over a hour just to see him!
Absolutely love this dentist office! I have been coming here since I was a kid and I love every single employee here! They all know me by name and always make me feel at home when I'm there. I...
You might also like
Partial Data by Infogroup (c) 2025. All rights reserved.
Partial Data by Foursquare.








