Dr.Cohen is the greatest dentist ever and his staff are super sweet and supportive. I'm always greeted with a smile and hug. Very fun guy to talk to with a charming accent and a handful of good...
Cohen David,DDS
(58)
Photos
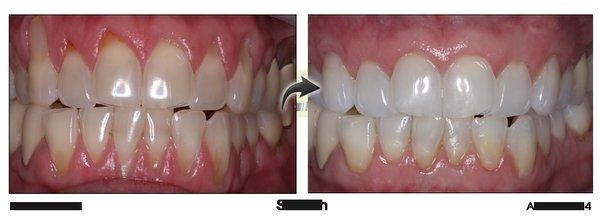
Dr. David Cohen, a dedicated dental professional in Fountain Valley, CA, specializes in General Implant Dentistry, offering a comprehensive range of services aimed at enhancing patients' oral health and creating beautiful smiles. With a commitment to personalized and gentle care, Dr. Cohen and his experienced team provide everything from routine cleanings to advanced cosmetic procedures like veneers and teeth whitening.
Patients appreciate the friendly and professional atmosphere of the practice, which emphasizes patient education and informed decision-making regarding dental health. With over three decades of experience, Dr. Cohen is recognized for his exceptional service and ability to make dental visits a positive experience for individuals of all ages.
Generated from the website
Also at this address
Reviews
Doctor Cohen, was recommended to me years ago, by a co-worker! I feel that both he and his staff, are very thorough and caring! I will continue to keep him as my dentist!
Agreed with fellow Yelper Christina's comment. My dental insurance covered 100% of my prophylactic general cleaning, but I was met with a $20 "facility fee" after my cleaning was completed,...
I've been going to Dr. Cohen's office for years because of the quality of care that he and his staff provide. I really appreciate the kind and thorough dental hygienists here and the levity that...
Update - and oh it gets even worse. He won't release my x-rays without paying $35 for myself, and another $35 for my husband. This guy is the biggest crook I've ever seen in the industry. I spoke...





